Chirurgische Eingriffe
Wann und warum Zahnoperationen nötig sind
In unserer Praxis sind wir unter anderem auf Oralchirurgie spezialisiert und führen täglich zahlreiche Zahnoperationen durch.
Hier erfahren Sie, warum solche Eingriffe manchmal notwendig sind und welche Vorteile unsere Erfahrung und Routine für Sie bringen.
Warum sind Zahnoperationen manchmal nötig?
Zahnoperationen können aus verschiedenen Gründen erforderlich sein:
- Zahnentfernung: Wenn ein Zahn stark beschädigt ist oder eine Infektion vorliegt, kann eine Entfernung notwendig sein.
- Weisheitszahnentfernung: Oft verursachen Weisheitszähne Platzprobleme oder Schmerzen und müssen daher entfernt werden.
- Wurzelspitzenresektion: Wenn eine Entzündung an der Wurzelspitze nicht auf eine Wurzelbehandlung anspricht, kann eine chirurgische Entfernung nötig sein.
- Zahnimplantate: Zum Ersatz fehlender Zähne können Zahnimplantate gesetzt werden, die eine stabile und dauerhafte Lösung bieten.
- Parodontalchirurgie: Bei fortgeschrittener Parodontitis kann eine Operation erforderlich sein, um erkranktes Gewebe zu entfernen und die Heilung zu fördern.
Unsere Expertise in der Oralchirurgie
Unsere Zahnarztpraxis in Remscheid hat einen klaren Schwerpunkt in der Oralchirurgie. Durch unsere umfangreiche Erfahrung und Routine können wir Ihnen schnelle und schonende Zahnoperationen bieten. Unsere tägliche Praxis in der Durchführung dieser Eingriffe trägt dazu bei, dass wir Sie effizient behandeln und Ihre Beschwerden schnell lindern können.
Ein gut durchgeführter chirurgischer Eingriff bringt viele Vorteile:
- Schnelle Linderung: Eine erfolgreiche Operation führt zu einer raschen Besserung Ihrer Beschwerden.
- Schonende Behandlung: Dank unserer Erfahrung und modernster Techniken sind unsere Eingriffe so schonend wie möglich.
- Vertrauen und Sicherheit: Sie können sich darauf verlassen, dass Sie in erfahrenen Händen sind und die bestmögliche Versorgung erhalten.
Warum sollten Weisheitszähne entfernt werden?
Weisheitszähne (dritte Molaren) brechen meist im jungen Erwachsenenalter durch. Häufig fehlt jedoch der nötige Platz im Kiefer. Schief liegende oder gekippte Weisheitszähne können Schmerzen, Entzündungen, Infektionen oder Engstände verursachen. Eine Entfernung wird daher oft empfohlen, bevor die Wurzeln vollständig ausgebildet sind. Der Eingriff ist in diesem Stadium meist schonender und mit einem geringeren Komplikationsrisiko verbunden.
Der richtige Zeitpunkt
Der optimale Zeitpunkt für die Weisheitszahnentfernung liegt in der Regel zwischen dem 16. und 20. Lebensjahr. Eine frühzeitige Entfernung kann spätere Beschwerden und aufwendigere Eingriffe vermeiden.
Weisheitszahnentfernung unter Vollnarkose
Auf Wunsch führen wir die Entfernung der Weisheitszähne unter Vollnarkose durch – besonders sinnvoll bei Angstpatient:innen oder umfangreicheren Eingriffen.
Ihre Vorteile:
• schmerzfreier Eingriff
• geringere Belastung
• entspannter Behandlungsablauf
Ablauf der Behandlung
- Beratung & Diagnostik
Untersuchung und präzise Planung anhand moderner Bildgebung. - Vorbereitung
Umfassende Aufklärung zu Eingriff, Narkose und Nachsorge. - Schonender Eingriff
Minimalinvasive Entfernung unter kontrollierten Bedingungen. - Nachsorge
Klare Anweisungen für eine sichere und komplikationsarme Heilung.
Zahnentfernung
icht jeder Zahn lässt sich erhalten. Ist ein Zahn stark geschädigt, chronisch entzündet oder medizinisch nicht mehr sinnvoll zu versorgen, kann eine Zahnentfernung notwendig sein, um Schmerzen zu lindern und die Mundgesundheit insgesamt zu schützen.
Die Entscheidung zur Entfernung treffen wir stets sorgfältig und individuell – mit Blick auf Ihre langfristige Zahngesundheit.
Wann ist eine Zahnentfernung sinnvoll?
Kranke Zähne können anhaltende Schmerzen, Infektionen oder Schäden am umliegenden Gewebe verursachen. Wenn zahnerhaltende Maßnahmen nicht mehr möglich oder nicht mehr zielführend sind, ist die Zahnentfernung oft der sinnvollste Schritt, um weitere Komplikationen zu vermeiden.
Erfahrung schafft Sicherheit
Zahnentfernungen erfordern fachliche Erfahrung, präzise Planung und eine ruhige Durchführung. Durch unsere Routine in der Oralchirurgie arbeiten wir sicher, kontrolliert und möglichst gewebeschonend. Ziel ist ein komplikationsarmer Eingriff und eine zügige Heilung.
Zahnentfernung mit Narkose
Auf Wunsch führen wir Zahnentfernungen unter Narkose durch – insbesondere bei Angstpatient:innen oder umfangreicheren Eingriffen.
• schmerzfreier Ablauf
• geringere Belastung
• individuell abgestimmtes Narkoseverfahren
Ihre Sicherheit und Ihr Wohlbefinden stehen dabei immer im Mittelpunkt.
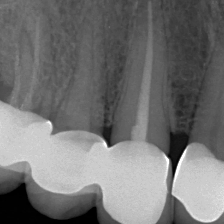
Wurzelspitzenresektion (WSR) –
Zahnerhalt durch chirurgische Präzision
Manchmal reicht eine klassische Wurzelkanalbehandlung nicht aus, um eine Entzündung dauerhaft zu beseitigen. In solchen Fällen kann eine Wurzelspitzenresektion (WSR) helfen, den betroffenen Zahn trotzdem zu erhalten.
Bei diesem chirurgischen Eingriff wird die entzündete Wurzelspitze sowie das umliegende entzündete Gewebe gezielt entfernt. Anschließend wird der Wurzelkanal dicht verschlossen, sodass sich die Entzündung nicht erneut ausbreiten kann.
Die Behandlung erfolgt schonend, präzise und unter modernen technischen Voraussetzungen. Ziel der Wurzelspitzenresektion ist es, den natürlichen Zahn zu erhalten und Schmerzen oder wiederkehrende Entzündungen nachhaltig zu beseitigen.
Dank sorgfältiger Planung und moderner Verfahren ist die WSR heute ein gut kalkulierbarer Eingriff mit hohen Erfolgsaussichten – für den langfristigen Erhalt Ihrer eigenen Zähne.
Parodontalchirurgie (PA) –
gesundes Zahnfleisch als Basis für stabile Zähne
Gesundes Zahnfleisch ist entscheidend für den festen Halt der Zähne. Bei fortgeschrittener Parodontitis kann es jedoch zu tiefen Zahnfleischtaschen, Knochenabbau und Lockerung der Zähne kommen. Reicht eine konservative Behandlung nicht mehr aus, kann eine parodontalchirurgische Therapie (PA) notwendig sein.
Im Rahmen der Parodontalchirurgie werden entzündete Bereiche gründlich gereinigt und krankhafte Gewebeanteile entfernt. Ziel ist es, die Entzündung zu stoppen, das Zahnfleisch wieder gesund anliegen zu lassen und den weiteren Abbau von Knochen zu verhindern.
Je nach Situation können zusätzlich regenerative Maßnahmen eingesetzt werden, um das Gewebe zu stabilisieren und die Heilung zu fördern. Die Behandlung erfolgt sorgfältig geplant und möglichst schonend.
Parodontalchirurgische Eingriffe tragen wesentlich dazu bei, Zähne langfristig zu erhalten, Entzündungen zu kontrollieren und die Grundlage für eine stabile Mundgesundheit zu schaffen.
Haben Sie Fragen zu Zahnoperationen oder möchten Sie mehr über unsere Leistungen erfahren? Vereinbaren Sie noch heute einen Beratungstermin in unserer Praxis. Unser erfahrenes Team steht Ihnen zur Verfügung, um all Ihre Fragen zu beantworten und die beste Lösung für Ihre individuellen Bedürfnisse zu finden.
Kontaktieren Sie uns jetzt und lassen Sie sich kompetent beraten, damit Sie schnell wieder schmerzfrei und gesund lächeln können!





